Jeffrey M. Spivak, M.D. - Orthopaedic Spine Surgeon
NYU Hospital for joint Diseases Spine Center
Jeffrey M. Spivak, M.D. - Orthopaedic Spine Surgeon: 212-598-6696
Patient Info

Stenosis

Spinal stenosis is a condition caused by the gradual narrowing of the spinal canal.

What Is Spinal Stenosis?

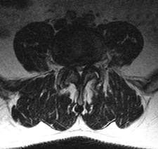
The narrowing of the spinal canal, called spinal stenosis, can happen as a result of the degeneration of both the facet joints and the intervertebral discs. In this condition, bone spurs, called osteophytes, which develop because of the excessive load on the intervertebral disc, grow into the spinal canal.

The facet joints also enlarge as they become arthritic, which contributes to a decrease in the space available for the nerve roots. The ligaments of the spinal column, especially the ligamentum flavum, become stiff, less flexible and thicker with age, which also contributes to spinal stenosis. These processes narrow the spinal canal and may begin to impinge and put pressure on the nerves roots and spinal cord, creating the symptoms of spinal stenosis.

Stenosis may occur in the central spinal canal (central stenosis) where the spinal cord or cauda equina are located, in the tract where the nerve root exits the central canal (lateral recess stenosis) or in the lateral foramen (foraminal stenosis) where the individual nerve roots exit out to the body.

Stenosis Surgery - Jeffrey M. Spivak M.D. Orthopaedic Spine Surgeon

Some distortion of the spinal canal will occur in virtually every person as they age, but the severity of the symptoms will depend on the size of a person's spinal canal and the encroachment on the neural elements. The rate of deterioration varies greatly from person to person, and not everyone will feel symptoms.

Spinal stenosis may be caused by a number of processes that decrease the amount of space in the spinal canal available for the neural elements. Degenerative causes are the most common, but there are a few unusual causes of stenosis. These include calcium pyrophosphate crystal deposition, amyloid deposition, and intradural spinal tumors.

What Are The Symptoms Of Spinal Stenosis?

Some people with degenerative disease of the lumbosacral spine may be totally asymptomatic, some may complain of mild discomfort in the low back, and others may not even be able to walk.

Patients who have significant spinal stenosis typically will begin to notice pain in the buttocks, thigh or leg that develops with standing or walking, and improves with rest. In some cases, a patient will complain of leg pain and weakness without having any back pain. More severe symptoms of the disorder include numbness, a tingling sensation and/or weakness in the lower extremities.

Stenosis Treatment - Jeffrey M. Spivak M.D. Orthopaedic Spine Surgeon

Certain positions can alleviate the symptoms of spinal stenosis by increasing the amount of space available for the nerves. These positions usually involve flexion of the lumbar spine and forward bending. Any position that flexes the lumbar spine is often associated with resolution of symptoms. For instance, patients with spinal stenosis can ride a bike and walk up an incline or flight of stairs without any pain. They can also often walk for extended distances if they have something to lean on, like a shopping cart. However, if they are walking down an incline or flight of stairs, or if they have to give up the shopping cart, their symptoms often reappear.

The presentation and severity of the symptoms of spinal stenosis depends on the several factors, including the original width of the spinal canal, the susceptibility of the nerves involved, and the unique functional demands of the patient and the pain tolerance of each individual.

How Is Spinal Stenosis Diagnosed?

The diagnosis of spinal stenosis begins with a complete history and physical examination. The doctor will determine what symptoms are present, what makes them better or worse, and how long they have been present. A physical examination is essential for determining how severe the condition is, and whether or not it is causing weakness or numbness in certain parts of the body.

Abnormalities in the strength and sensation of particular parts of the body that are found with a neurological examination provide the most objective evidence of chronic nerve root compression caused by spinal stenosis. Routine radiographs of the lumbar spine are very helpful in determining the amount of degeneration that is present in the spine, which gives an indirect indication of whether or not spinal stenosis is present. These S-rays are also used to determine if certain parts of the spine are unstable, which may be contributing to the symptoms of stenosis.

Spinal Stenosis Surgery - Jeffrey M. Spivak M.D. Orthopaedic Spine Surgeon

A computed tomography (CT or CAT) scan provides excellent visualization of the bony anatomy of the spinal column and is an indispensable tool for determining where the stenosis is located. This test is often performed in conjunction with a myelogram, which involves injecting dye into the space occupied by the spinal cord and nerve roots to determine how well the cerebrospinal fluid is able to travel along the nerve roots. An EMG or electromyographic test may help to determine which nerve root in particular is not working normally in the situation where several nerve roots may be involved.

How Is Spinal Stenosis Treated?

Your doctor will be able to discuss with you what your diagnosis means in terms of treatment options. For most people who do not have evidence of nerve root compression with muscle weakness, the first line of therapy includes non-steroidal anti-inflammatory drugs and physical therapy.

Surgery is offered only after physical therapy, rest, and medications have failed to adequately relieve the symptoms of pain, numbness and weakness over a significant period of time.

The benefits of spine surgery, however, must be weighed against the risks. Your surgeon will be able to discuss the risks and benefits of surgery with you, and the likely results of operative versus non-operative treatment.

Jeffrey M. Spivak, M.D. - Orthopaedic Spine Surgeon
Awards and Honors - Jeffrey M. Spivak, M.D.
Publications - Jeffrey M. Spivak, M.D.
Jeffrey M. Spivak, M.D. Specialties
Herniated Discs - Jeffrey M. Spivak, M.D.
Spinal Stenosis - Jeffrey M. Spivak, M.D.
Adult Scoliosis - Jeffrey M. Spivak, M.D.
spondylolisthesis - Jeffrey M. Spivak, M.D.
Kyphosis - Jeffrey M. Spivak, M.D.
Microsurgery - Jeffrey M. Spivak, M.D.
Fractures - Jeffrey M. Spivak, M.D.
Revision Spine Surgery - Jeffrey M. Spivak, M.D.
Patient Forms - Jeffrey M. Spivak, M.D.
Multimedia Patient Education - Jeffrey M. Spivak, M.D.
View Movies
New York Best Doctors - Jeffrey M. Spivak, M.D.
Super Doctors - Jeffrey M. Spivak, M.D.
Patient Testimonials - Jeffrey M. Spivak, M.D.
Second Opinion - Jeffrey M. Spivak, M.D.
Facebook
Twitter YouTube
Bookmark and Share

© Jeffrey M. Spivak M.D. Orthopaedic Spine Surgeon New York NY

Your Practice Online